マイクロスコープによる精密根管治療


精密根管治療なら、抜かずに治療で残せる歯があります

建物を建てるときに重要となる「基礎工事」、歯の治療でこの基礎工事に当たるのが「根管治療」です。どんなにキレイな歯を被せても、この根管治療が不十分な場合、せっかく治療をしても細菌の再感染により、歯の根の先に膿ができるリスクがあります。

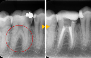
むし歯や歯周病が進行し、やむをえず抜歯という選択をしなければならなくなった場合、マイクロスコープ(手術用顕微鏡)を用いた高度な精密根管治療を行うことにより、抜歯をせずにすむことがあります。

精密根管治療

精密根管治療はこんな方にお勧めです

  • インプラントにすることをすすめられたが歯を残したい
  • 抜歯をすすめられたものの、できれば抜きたくない
  • 同じ箇所の虫歯治療を何度も繰り返している
  • 痛みや腫れが出る度に、治療せずに様子を見ましょうと言われた方
  • 根っこの治療は通院回数が多く、何回治療しても良くならない
  • 治療したはずの歯が、最近また痛み出して悩んでいる

以上のようなお悩みも、精密根管治療で解消できるかもしれません。まずは当院までご相談ください。

根管治療(根っこの治療・神経の治療)とは

グラフ
▲処置別の月間保険請求件数(歯内療法 / 全9,113件、284医療機関、平成17年東京都)

抜髄(神経をとる処置イニシャルトリートメント)とは一般的にはじめての根の治療を意味し、感染根管治療(やり直しの処置リトリートメント)とは過去に根の治療を行ったけれども、痛みや違和感が続く場合に行われる治療で、一般的に一回以上処置の手が入った歯に対する根の治療をさしていいます。

この上記のグラフが意味するのは、根管治療のほとんどがやり直しになっているということです。

つまりリトリートメント(再治療)の成功率は低く、これを何度か繰り返すと、歯が薄くなって保存不可能になってしまうことが多いのです。

抜髄
抜髄(神経をとる処置)イニシャルトリートメント

リスクや副作用について

  • 術後の痛み、違和感、穿孔、歯根破折、器具の破折がおこる場合があります。
  • 根管治療後に、再治療、外科処置、抜歯などの処置が必要となる場合もあります。

感染根管治療
感染根管治療(やり直しの処置)リトリートメント

リスクや副作用について

  • 術後の痛み、違和感、穿孔、歯根破折、器具の破折がおこる場合があります。
  • やり直しの治療は成功率は低く、これを何度か繰り返すと、歯が薄くなり保存不可能になってしまう場合があります。再治療、外科処置、抜歯などの処置が必要となる場合もあります。

治療にマイクロスコープ(手術用顕微鏡)を使用します

マイクロスコープ

精密根管治療の対象となる根管(歯根の中の神経管)は大変複雑で、肉眼による治療にはその精度に限界があります。米国で根管治療を行う専門医は、マイクロスコープ(手術用顕微鏡)がないと治療をすることができないというのが実情です。まずそのために当医院では、著しく成功率を高くしているその北米、特に先取性の高い西海岸のシステムを採用しています。

道具

マイクロスコープによって肉眼では見ることができない術野も大きく見えるので、精密な診断が可能になります。

倍率

この治療法は従来肉眼で治療していたときには考えられなかった、高精度での治療が可能になりました。根の中の状態を把握でき、原因をはっきりと特定することができるため、従来のように何度も根の治療を繰り返す必要がありません。

もし歯を抜くと診断されたのであれば、その前に精密根管治療で残せる歯かどうか診察を受けてみてはいかがでしょうか

当医院では他の歯科医院に通われている方が主治医から示された治療法や手術法などでお悩みのときに、患者さまご自身が納得して治療を選択して頂けるようご相談をお受けしております。

お気軽にお問い合わせ・ご相談ください
03-5935-8484
平日9:30-13:00 / 14:30-19:30(最終受付18:30)
土曜9:30-13:00 / 14:00-17:00(最終受付16:00)
休診:日・祝
診療予約 無料メール相談 無料カウンセリング
診療時間表
▼土曜午後は14:00-17:00

練馬区地図
〒178-0063 東京都練馬区東大泉1-37-7
ドラゴンスクエアビル3F
西武池袋線「大泉学園駅」徒歩2分
タイムズご利用の方はサービス駐車券を発行致します
(上限30分まで)。駐車証明書を必ずお持ち下さい。

・東大泉第2 ・東大泉3丁目第4 ・大泉学園駅前第5
・大泉学園駅南口 ・東大泉北野神社前
の5カ所が提携タイムズです。
駐車場案内⇒詳しくはこちら

PAGETOP