CT撮影でより的確に
より的確に、なるべく負担の少ない手術のために

インプラント治療を行う前の検査として、一般的にはレントゲン撮影による術前診査が行われます。 レントゲン像は全顎的な審査を行うためにはとても有効ですがインプラント治療の術前検査としては完璧なものではありません。
例えば、インプラント手術において危険領域となる神経や血管の位置や骨幅、骨質などを正確に診査・診断するためにはCTによる精密検査は欠かすことはできません。
CTデータを元にしてコンピューターでシミュレーションすることで最終な被せものを装着する時のベストポジションの想定や不必要な骨移植・骨造成の回避、そして、フラップレス手術が可能かどうかの判断ができるため、理想的な治療計画がたてられることが大きな利点といえます。
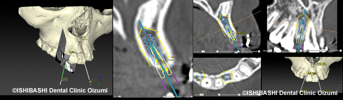
シミュレーションソフトで事前確認
当院では、インプラント治療の前にCTデータをシミュレーションソフト『ノーベルクリニシャン』へと取り込み、患者さんの顎骨の状態や骨質を精密に診断した上で、使用するインプラントの種類や径、長さ、角度などを決定していきます。このコンピュータシミュレーションによってインプラント治療をより正確に施術することを目指します。
院内に歯科用CTを設置しています
当院では骨の状態を的確に把握するために歯科用CTでの撮影を院内にて行っています。
(1) 骨量診断:3次元( 立体) 空間の把握が可能で実寸での骨の計測が可能。
(2) 骨質診断:CT値による骨密度の把握が可能。
シロナ社製の歯科用CT「ORTHOPHOS XG 3D」を導入し、院内にて撮影を行っております。

根管治療などにも診断で活かしています
CT撮影・診断は何もインプラントの骨の測定だけに利用しているのではありません。例えば、当院の精密根管治療。細かい歯の神経の枝は、通常のレントゲン撮影だと、病巣や破折の場所が不明確な場合もあります。歯科用CTなら。今まで以上により正確な診査と診断が、根管治療でも可能になります。
詳しくは当院の精密根管治療のページもご覧ください。
『ノーベルクリニシャン』

当院では、ノーベルバイオケア社の『ノーベルクリニシャン』インプラントシステムを使用し、CTデータによる正確な診断、設計を行っています。
『ノーベルクリニシャン』とは、『インプラント療法をより正確にサポートし、治療を行う為のシステム』です。
まず、CTスキャンにより患者様の顎骨の形を完全に再現した3D情報を使用します。
これにより、事前に『インプラントを埋入するための十分な骨があるか』『どの角度で、太さ何ミリのインプラントを、深さ何ミリまで入れれば良いか』といった、事前の情報が分かります。
また、この情報を元に綿密な手術計画が立てられるので、普通のインプラント治療よりも手術にかかる時間が少なくなります。
そして、計画が綿密であるため、手術の前に患者様にしっかりとしたご説明ができ、手術をお受けいただけます。
このシステムは現在世界でもっとも画期的かつ最先端テクノロジーを結集したインプラント療法システムです。





平日9:30-13:00 / 14:30-19:30(最終受付18:30)
土曜9:30-13:00 / 14:00-17:00(最終受付16:00)
休診:日・祝
▼土曜午後は14:00-17:00

〒178-0063 東京都練馬区東大泉1-37-7
ドラゴンスクエアビル3F
タイムズご利用の方はサービス駐車券を発行致します
(上限30分まで)。駐車証明書を必ずお持ち下さい。
・東大泉第2 ・東大泉3丁目第4 ・大泉学園駅前第5
・大泉学園駅南口 ・東大泉北野神社前
の5カ所が提携タイムズです。
駐車場案内⇒詳しくはこちら






