一般歯科
虫歯・なるべく抜かない治療を

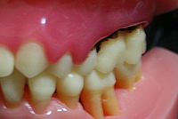
▲少しでも痛みがあれば…
一昔前に比べると、虫歯になる人は少なくなってきました。適切な歯磨きと定期検診で虫歯は予防できます。それでも、痛みが出てから歯科を受診するという方々のほうがまだまだ多いです。
少しでも異変を感じたら、放っておかないで一度ご来院されることをおすすめいたします。
*マイクロスコープによる精密根管治療(歯内療法)のページもご覧ください。
根面う蝕

▲歯の根の表面に虫歯ができる
歯の先や噛む面(咬合面)以外にも虫歯は発生します。特に最近高齢の方に多いのが、歯の根元部分に虫歯ができる症状です。これを根面う蝕(こんめんうしょく)と言います。
唾液が出にくくなったり、歯ぐきが痩せて、歯の根の面があらわになったりするために起こりやすいとされています。
歯の根・神経の治療

▲根管治療
虫歯が深く進行すると、歯髄や根が細菌に侵され、炎症を起こし、痛んだり腫れたり膿(うみ)が出たりすることがあります。
当院では神経の治療や歯の根の治療にも対応しています。出来るだけ早めの受診をおすすめしています。
*マイクロスコープによる精密根管治療(歯内療法)のページを公開いたしました。
歯周病

▲歯周病の模型イメージ
歯周病は、歯を支える骨(歯槽骨)を溶かす危険のある病気で、細菌による感染症です。具体的には、歯ぐき、歯槽骨、歯根、歯根膜などの歯周組織に起こる病気の総称です。
歯の周りが炎症を起こす「歯肉炎」と、それがさらに進行して炎症が深部まで及び、歯を支えている歯槽骨が溶け出す「歯周炎」の二つに分けられます。
歯を失うもっとも大きな原因は、虫歯ではなく、歯周病です。
歯周病の治療についてはこちらをご覧ください。

平日9:30-13:00 / 14:30-19:30(最終受付18:30)
土曜9:30-13:00 / 14:00-17:00(最終受付16:00)
休診:日・祝
▼土曜午後は14:00-17:00

〒178-0063 東京都練馬区東大泉1-37-7
ドラゴンスクエアビル3F
タイムズご利用の方はサービス駐車券を発行致します
(上限30分まで)。駐車証明書を必ずお持ち下さい。
・東大泉第2 ・東大泉3丁目第4 ・大泉学園駅前第5
・大泉学園駅南口 ・東大泉北野神社前
の5カ所が提携タイムズです。
駐車場案内⇒詳しくはこちら






