PMTC 歯のクリーニング
当院では虫歯や歯周病を防ぐための様々なクリーニングを行っております。
PMTC(クリーニング)

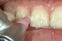
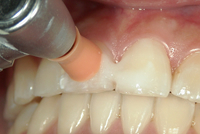
PMTC(プロフェッショナル・メカニカル・ティース・クリーニング)を行っております。国家資格を持った歯科衛生士によるプロのクリーニングです。「虫歯や歯周病の予防」の目的の他、「歯の汚れを取る」という目的もある歯のクリーニングです。
ブラッシングでは落としきれない汚れや軽度の歯石・着色を専用の機器を使って除去し、歯本来の色を取り戻していきます。
PMTCで使用する器具

▲ラバーチップ
▲ラバーカップ
▲使い捨てタイプを使用します
トレーニングを積んだ歯科衛生士がさまざまなタイプのチップやブラシを使い分け、プロによる清掃を行います。
バイオフィルムとは

▲バイオフィルムのイメージ
バイオフィルムとは、歯の表面に付く細菌の塊です。キッチンやお風呂等の水まわりにもヌルヌル・ネバネバした膜の細菌が形成されます。それと似たようなものと考えてください。
一度、歯の表面に形成されたバイオフィルムは虫歯や歯周病のリスクを増大させます。このバイオフィルムは通常の歯ブラシでは除去できず、虫歯予防などのフッ素や薬液の効果を減弱させてしまいます。

平日9:30-13:00 / 14:30-19:30(最終受付18:30)
土曜9:30-13:00 / 14:00-17:00(最終受付16:00)
休診:日・祝
▼土曜午後は14:00-17:00

〒178-0063 東京都練馬区東大泉1-37-7
ドラゴンスクエアビル3F
タイムズご利用の方はサービス駐車券を発行致します
(上限30分まで)。駐車証明書を必ずお持ち下さい。
・東大泉第2 ・東大泉3丁目第4 ・大泉学園駅前第5
・大泉学園駅南口 ・東大泉北野神社前
の5カ所が提携タイムズです。
駐車場案内⇒詳しくはこちら






